허리 통증 완화? 82세 여성, 개구리 8마리 삼킨 후…기생충 감염 '충격'
미신을 좇은 비극: 82세 여성의 안타까운 사연
중국에서 80대 여성이 허리 통증 완화를 위해 살아있는 개구리를 삼킨 후 기생충에 감염되는 사건이 발생했습니다. 이 여성은 민간요법에 의존하여 개구리 8마리를 생으로 섭취했고, 결국 심각한 건강 문제를 겪게 되었습니다. 이 사건은 고령층에서 잘못된 건강 정보와 미신을 맹신하는 것이 얼마나 위험한 결과를 초래할 수 있는지를 보여주는 사례입니다. 이 여성의 이야기는 우리에게 건강 정보를 신중하게 받아들이고, 전문가의 조언을 구하는 것이 얼마나 중요한지를 일깨워줍니다.

개구리 8마리의 끔찍한 선택: 고통의 시작
82세 장모씨는 오랫동안 허리 디스크로 고통받던 중 '살아있는 개구리를 삼키면 허리 통증이 완화된다'는 말을 듣고, 가족에게 개구리를 구해오도록 했습니다. 그녀는 개구리를 조리하지 않고 생으로 삼켰으며, 처음에는 복부 불편함만 느꼈지만 며칠 사이에 통증이 심해졌습니다. 이 선택은 그녀에게 예상치 못한 고통과 위험을 안겨주었고, 결국 병원 신세를 지게 만들었습니다. 이 사건은 잘못된 정보가 개인의 건강에 얼마나 치명적인 영향을 미칠 수 있는지를 보여주는 단적인 예입니다.

병원으로 실려 간 장씨: 기생충 감염 확인
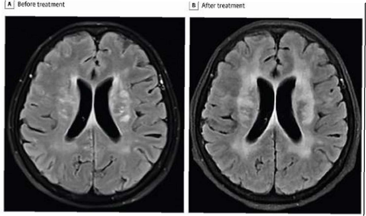
극심한 복통을 호소하며 병원으로 이송된 장씨는 검사 결과 기생충 감염으로 확진되었습니다. 의료진은 소화기관 손상과 함께 스파르가눔을 포함한 기생충이 체내에서 발견되었다고 밝혔습니다. 스파르가눔은 기생충 유충 단계를 의미하며, 이는 장씨가 겪은 고통의 원인이 되었습니다. 이 사건은 개인의 건강을 위해 과학적인 근거 없는 민간요법을 맹신하는 것이 얼마나 위험한지를 보여줍니다.

고령층의 위험한 선택: 뱀 쓸개, 개구리 가죽까지
항저우 병원의 우중원 의사는 이와 유사한 사례가 드물지 않다고 말하며, 뱀 쓸개나 물고기 쓸개를 생으로 먹거나 개구리 가죽을 피부에 붙이는 경우도 있다고 전했습니다. 이러한 행위는 대부분 고령층에서 나타나며, 건강 문제를 가족과 충분히 상의하지 않고 증상이 악화된 후에야 병원을 찾는 경향이 있다고 지적했습니다. 이러한 잘못된 선택은 건강을 악화시키고, 심각한 경우 생명을 위협할 수 있습니다.

전문가의 경고: 기생충의 위험성
우중원 의사는 개구리 가죽을 몸에 붙이면 피부병이 낫는다는 소문은 근거가 없으며, 오히려 기생충이 인체에 침투하여 시력 저하, 두개강 내 감염, 생명까지 위협할 수 있다고 경고했습니다. 그는 건강에 대한 잘못된 정보가 얼마나 위험한 결과를 초래할 수 있는지 강조하며, 과학적인 근거를 바탕으로 건강 관리를 해야 한다고 조언했습니다. 전문가의 경고는 건강에 대한 올바른 정보를 습득하고, 검증되지 않은 민간요법에 의존하지 않도록 하는 데 중요합니다.

개구리 8마리의 비극: 건강 정보의 중요성
이번 사건은 허리 통증 완화를 위해 개구리 8마리를 삼킨 82세 여성의 안타까운 사연을 통해, 잘못된 건강 정보와 미신을 맹신하는 것이 얼마나 위험한 결과를 초래할 수 있는지를 보여줍니다. 기생충 감염으로 인한 심각한 건강 문제는 건강 정보의 중요성을 강조하며, 전문가의 조언을 구하고 과학적인 근거를 바탕으로 건강 관리를 해야 함을 시사합니다. 이 사건은 우리에게 건강에 대한 올바른 지식을 갖추고, 신중하게 건강 정보를 받아들여야 한다는 교훈을 줍니다.

자주 묻는 질문: 기생충 감염 예방
Q.개구리나 뱀 쓸개를 먹으면 왜 위험한가요?
A.개구리나 뱀 쓸개는 기생충 감염의 위험을 높입니다. 이러한 음식에는 기생충 유충이 포함되어 있을 수 있으며, 섭취 시 인체에 침투하여 심각한 건강 문제를 일으킬 수 있습니다.
Q.민간요법을 무조건 믿지 말아야 하는 이유는 무엇인가요?
A.민간요법은 과학적인 근거가 부족하거나, 오히려 건강에 해로운 경우가 많습니다. 검증되지 않은 치료법은 질병을 악화시키거나, 예상치 못한 부작용을 초래할 수 있습니다. 반드시 전문가와 상담하고, 과학적인 정보를 바탕으로 건강 관리를 해야 합니다.
Q.기생충 감염을 예방하려면 어떻게 해야 하나요?
A.기생충 감염을 예방하기 위해서는 위생적인 음식 섭취가 중요합니다. 특히, 날 음식이나 덜 익은 음식은 피하고, 충분히 익혀 먹는 것이 좋습니다. 또한, 손 씻기를 생활화하고, 청결한 환경을 유지하는 것도 중요합니다.
